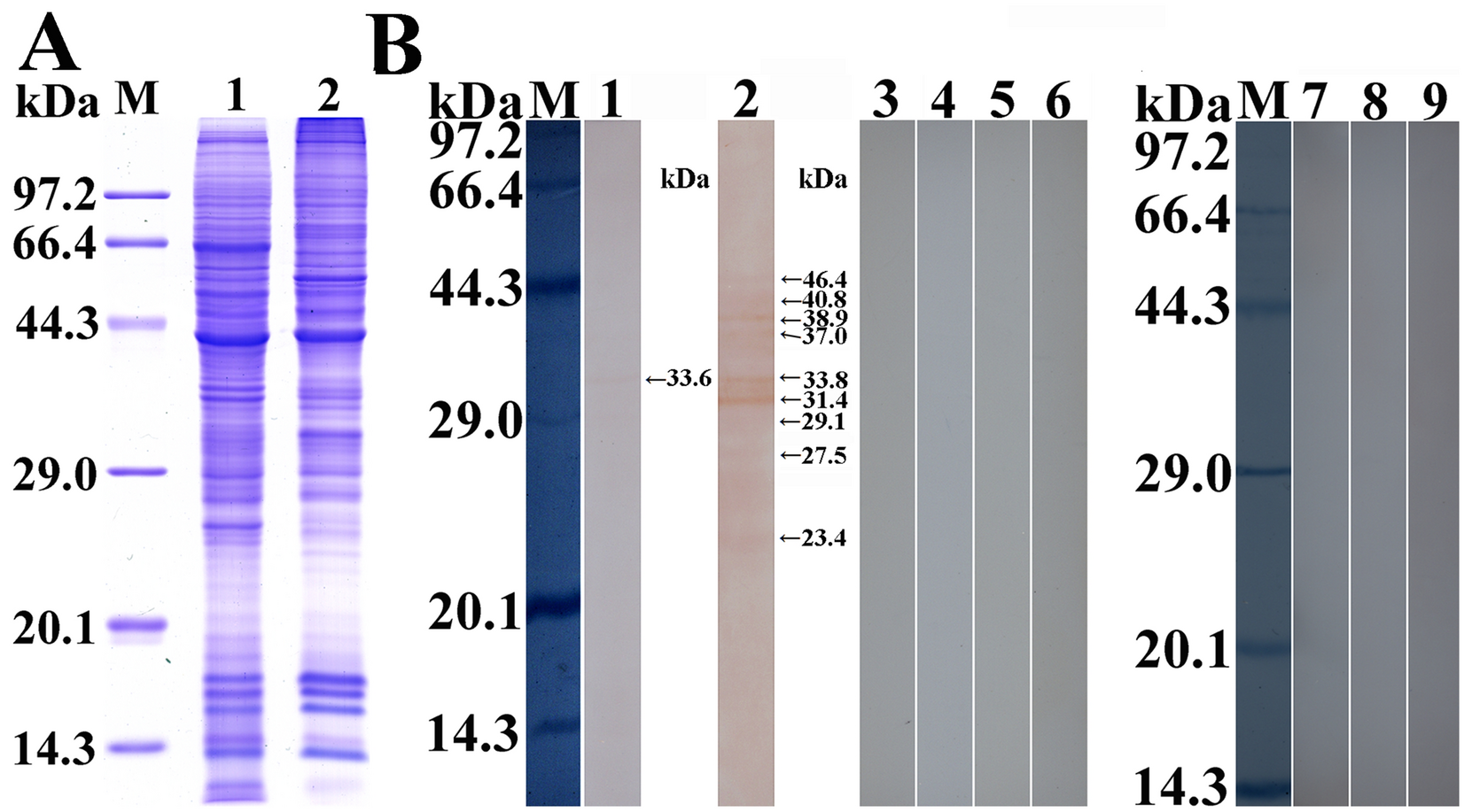
Figure 7

Far-western blotting of rTsP binding with IEC proteins. A SDS-PAGE analysis of IEC (lane 1) and C2C12 cell (lane 2) lysates. B The specific binding between rTsP and IEC proteins was assessed by far-western blotting. A membrane carrying IEC proteins (lanes 1–6) was incubated with rTsP (lanes 1–3) or BSA (lanes 4–6). Specific bands of rTsP bound with IECs were identified by the application of infection serum (lane 1) and anti-rTsP serum (lane 2) but not pre-immune serum (lane 3). No binding between BSA and IEC proteins was detected with infection serum (lane 4), anti-rTsP serum (lane 5), or pre-immune serum (lane 6). No binding of rTsP with C2C12 cells was detectable using infection serum (lane 7), anti-rTsP serum (lane 8), or pre-immune serum (lane 9).